Lockere Zahnspange
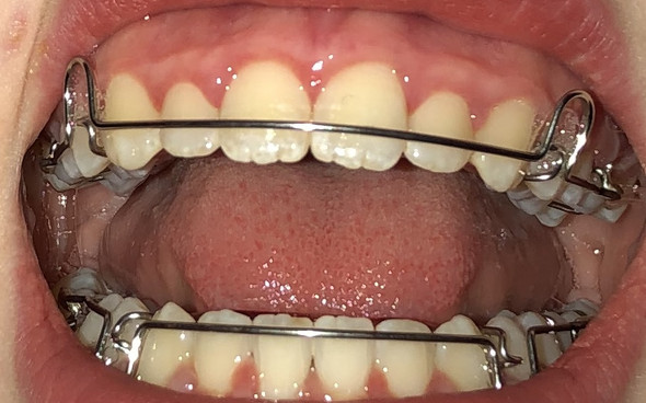
Die abnehmbare Zahnspange ist eine der beliebtesten Formen und kommt häufig während des Zahnwachstums zum Einsatz Sie besteht aus einem KunststoffMittelstück, in welches Klammern eingearbeitet sind Die Zahnspange liegt dicht an der Innenseite der Zähne an und der Kiefer wird so sanft gedehnt.
Lockere zahnspange. Lockere zahnspange und so =) by krümelmonster8) 11 3 14 by Thomas 11 meine dritte Zahnspange I by Philipp 3 Retainer für OK (Tragedauer 36 Monate, ca 84 Wochenstunden) zeitweise mit Headgear (Tragedauer 24 Monate, ca 30 Wochenstunden) Upper jaw by PThielson. Lose Zahnspange Lose Zahnspangen garantieren vor allem für Kinder und Jugendliche eine optimale Korrektur von Zahn und Kieferfehlstellungen Durch das Herausnehmen lassen sich die Zähne und die Zahnspange besonders leicht reinigen Die lose Zahnspange sollte bestenfalls 14 Stunden oder mehr am getragen werden. Die Zahnspange für Erwachsene Was zahlt meine Krankenkasse?.
Ich habe retainer drinnen und hatte meine feste Zahnspangen für 2 Jahre ist es schlimm falls ich meine lose zahnspange nicht oft trage?. Mit lockere Zahnspange ist die lose Zahnspange gemeint Varianten der Zahnspangen Sowohl bei festen als auch bei losen Zahnspangen gibt es eine breite Auswahl an unterschiedlichen Ausführungen Auch hier spielen das Alter des Patienten, die Zahnspange Kosten und natürlich vor allem der Wunsch des Patienten wichtige Rollen bei der Auswahl der richtigen Zahnspange. Ich trage schon seit 2 Jahren eine fetse Zahnspange und es ist nichtmehr lange bis ich dann nurnoch beim Schlafen eine lockere tragen muss D Aber seit meinem letzten Termin (vor ca einem Monat) muss ich Gummis tragen (auf beiden Seiten von hinten nch vorne ) und mir ist aufgefallen dass bei mir nun vorne (zentral) eine Zahnlücke entstanden ist.
Diese Website benutzt Cookies, die für den technischen Betrieb der Website erforderlich sind und stets gesetzt werden Andere Cookies, die den Komfort bei Benutzung dieser Website erhöhen, der Direktwerbung dienen oder die Interaktion mit anderen Websites und sozialen Netzwerken vereinfachen sollen, werden nur mit Ihrer Zustimmung gesetzt. Hier Termine buchen http//orthodentixde/service/terminbuchung/ KOSTENLOS ABONNIEREN https//wwwyoutubecom/channel/UCjd4t9jbeGsLqOZjncno8aQ/about?annot. Wie hoch ist das Risiko einer Allergie gegen Zahnspange und co?Sie gehört zum Erwachsenwerden vieler Teenager dazu Aber nicht nur!.
Zahnspangen Ratgeber Die Entscheidung über die Art der Zahnspange hängt von der individuellen Diagnose und dem Grad der Kooperation ab Von festsitzenden Zahnspangen bis zu Invisalign ®, der unsichtbaren Zahnspange, gibt es viele Lösungen, die wir nach medizinischen Gesichtspunkten vorschlagen und dann mit Ihnen gemeinsam nach der individuellen Situation auswählen. Dies bedeutet, dass Sie Ihre Behandlungszeit möglicherweise halbieren können, unabhängig von der Art der Zahnspange oder der von Ihnen gewählten Apparatur Alter in Bezug auf Ihre Zahnspange Das Alter ist auch ein Faktor dafür, wie lange Sie Zahnspangen tragen müssen, um die gewünschten Ergebnisse zu erzielen. Hat da jemand Erfahrung?.
Kinder die Zahnfehlstellungen wie beispielsweise zu enge Zähne oder lockere Zähne haben benötigen in der Regel eine Kinder Zahnspange Eltern sollten so früh wie möglich eine Erstuntersuchung bei einer Kieferorthopädie vereinbaren um Zähne, Mundbereich sowie Kiefer erstmalig analysieren zu lassen. Unna 2417 IserlohnLetmathe Bönen 023 Termin Standorte Praxis Unna 2417. Wird die lockere Zahnspange nur kurz herausgenommen, empfehlen wir, sie wenigstens mit Wasser abzuspülen Am besten ist Klammer im Mund aufgehoben, denn dort wirkt es Wird die herausnehmbare Zahnspange nicht getragen, sollte sie in einer Klammerdose aufbewahrt werden Eine Aufbewahrung in Wasser ist nicht nötig.
Suggest as a translation of "lockere Zahnspange" Copy;. Sie wird auch lockere Zahnspange (fachlich aktive Platte) genannt und kann vom Patienten selbstständig eingesetzt und wieder herausgenommen werden Erfahren Sie hier mehr über die verschiedenen Varianten von herausnehmbarer Zahnspange, wann man sie anwendet und welche Risiken sie bergen. Eine lockere Zahnspange reinigen Sie am besten täglich mit einer Zahnbürste und etwas nichtabrasiver Zahnpasta, wie beispielsweise zahnschmelzschonender Zahnpasta Sie fassen die Zahnspange am Kunststoffteil an (nicht an den empfindlichen Klammern und Drähten, um ein Verbiegen zu vermeiden) und schrubben alles sanft, aber gründlich ab Zum Abschluss reinigen Sie die Zahnspange unter fließendem Wasser.
Hi ) habe gestern meine untere feste Zahnspange rausbekomen und hab jetzt eine lockere Ich muss sie bis zum nächsten mal (4 Wochen) 24 Stunden tragen. Anfänglich wird die Zahnspange als Störenfried im Mund empfunden Leichte Druckschmerzen und Sprechstörungen werden aber bereits nach einigen en des Tragens vorüber sein Der Kieferorthopäde überprüft den Sitz der Spange im Turnus von ca 4 bis 10 Wochen und nimmt gegebenenfalls Angleichungen daran vor. Kosten einer Zahnspange bei kompletter Kieferorthopädischer Behandlung Erfolglos mit Kieferorthopädie, Kosten von 6000 Euro in den Sand gesetzt „Dental Monitoring“ Aus der Ferne in die Tiefe gehen.
Falls eine größere Reparatur oder gar eine Neuanfertigung einer Zahnspange erforderlich ist, übernehmen die Krankenkassen in der Regel die Kosten. Zahnspange Dose Große Auswahl, kleine Preis Zahnspange Dose zum kleinen Preis hier bestellen Super Angebote für Zahnspange Dose hier im Preisvergleich Der Aktivator ist eine herausnehmbare Apparatur Diese Art von loser Zahnspange wird aus einem kompakten Kunststoffblock gefertigt, in den Ober und Unterkiefer einbeißen. Jetzt kostenlose Beratung anfordern Gerade, harmonische Zahnreihen sind optisch und gesundheitlich von großem Vorteil – jedoch liegen bei der überwiegenden Mehrheit der Bevölkerung Kieferfehlstellungen oder Platzmangel vor, sodass das Gebiss sich nicht von allein mustergültig ausbildet Das kann nicht nur zu unschönen, schiefen Zähnen führen, sondern.
Mit dieser Zahnspange ist es nicht nur möglich, einzelne Zähne zu bewegen, sondern es kann zudem das Wachstum und die Lage des Kiefers beeinflusst werden, beispielsweise wenn er zu weit zurück liegt Die Behandlungsdauer beträgt mit einer herausnehmbaren Zahnspange je nach Fehlstellung der Zähne zwischen drei und vier Jahre. Herausnehmbare Zahnspange (Aktivatoren) sind im richtigen Alter (810 Jahre) optimal geeignet um das Kieferwachstum zu regulieren und damit eine gute Basis (Knochenwachstum) für die noch heranwachsenden Zähne zu schaffen Brackets oder lieblos Schneekette genannt wird, gibt es die lose, lockere, leichte oder schlicht herausnehmbare. Risiko einer Allergie für schöne, gerader Zähne eingehen?.
Mit lockere Zahnspange ist die lose Zahnspange gemeint Varianten der Zahnspangen Sowohl bei festen als auch bei losen Zahnspangen gibt es eine breite Auswahl an unterschiedlichen Ausführungen Auch hier spielen das Alter des Patienten, die Zahnspange Kosten und natürlich vor allem der Wunsch des Patienten wichtige Rollen bei der Auswahl der richtigen Zahnspange. Bei festsitzenden Zahnspangen sollten lockere Bänder auch deshalb rasch wieder befestigt werden, weil sich in dem Spalt Speisereste festsetzen können Zahlt die Krankenkasse die Reparaturkosten?. Ich bekomme bald meine feste Zahnspange raus und weiß nicht ob ich einen Retainer (das ist ein draht hinter den Zähnen), welchen ich für glaube 400€ selber bezahlen müsste oder eine lose Zahnspange, die von der krankenkasse finanziert werden würde, nehmen soll.
Reinigung einer herausnehmbaren Zahnspange Damit sich keine hartnäckigen Ablagerungen auf der Zahnspange festsetzen, gilt es, ein paar Regeln und Tipps zu beachten Wenn die herausnehmbare Zahnspange dauerhaft verschmutzt ist, kann das tägliche Tragen unangenehm werden und somit die Behandlung erschweren. Dennoch können Sie davon ausgehen, dass eine lockere Zahnspange (die auch als herausnehmbare oder lose Zahnspange bezeichnet wird) vor allem für die Behandlung von gering ausgeprägten Zahn und Kieferfehlstellungen in Frage kommen. Die InvisalignZahnspange ist genauso wie eine klassische lockere Zahnspange herausnehmbar Das Besondere an Invisalign ist, dass es sich um durchsichtige Schienen handelt Die kieferorthopädische Behandlung findet also quasi unsichtbar statt.
Lockere Zahnspangen werden gewöhnlich von Kindern der Wachstumsphase getragen, weil sie dann den Zahnwuchs und die Kieferentwicklung beeinflussen können Für Erwachsene eignen sich lockere Zahnspangen in der Retention Phase im Anschluss der Behandlung mit einer festen Zahnspange (Brackets). Jetzt kostenlose Beratung anfordern Gerade, harmonische Zahnreihen sind optisch und gesundheitlich von großem Vorteil – jedoch liegen bei der überwiegenden Mehrheit der Bevölkerung Kieferfehlstellungen oder Platzmangel vor, sodass das Gebiss sich nicht von allein mustergültig ausbildet Das kann nicht nur zu unschönen, schiefen Zähnen führen, sondern. Eine lockere Zahnspange ist bei den meisten Zahn und Kieferkorrekturen nur einen Teil der Behandlung, da mit ihnen meist nur das Kieferwachstum reguliert wird So wird die lose Zahnspange häufig zu Beginn der Therapie eingesetzt und hilft leichte Zahnfehlstellungen zu korrigieren.
DeepL Translator Linguee EN Open menu Translator Translate texts with the world's best machine translation technology, developed by the creators of Linguee Linguee Look up words and phrases in comprehensive, reliable bilingual dictionaries and search through billions of online. Typen der losen Zahnspange Aktivator, zum Beispiel zur Anregung des Unterkieferwachstums Aktivator Er gehört zu den funktionskieferorthopädischen Geräten mit einer passiven Funktionsweise und besteht aus einem Kunststoffkörper mit Drahtbügeln, die an den Schneidezähnen des Ober und Unterkiefers anliegen. Die lockere Zahnspange bekomme ich allerdings erst Dienstag Meine Angst ist eben, dass sich die Zähne bis dorthin noch weiter verschieben und das mit der losen Zahnspange nicht wieder regulieren wird Oder wird sie das?.
Mit dieser Zahnspange ist es nicht nur möglich, einzelne Zähne zu bewegen, sondern es kann zudem das Wachstum und die Lage des Kiefers beeinflusst werden, beispielsweise wenn er zu weit zurück liegt Die Behandlungsdauer beträgt mit einer herausnehmbaren Zahnspange je nach Fehlstellung der Zähne zwischen drei und vier Jahre. Benötigen Sie eine Zahnspange?. Zunächst sei gesagt Verfallen Sie nicht in Panik, wenn der Draht der Zahnspange locker ist Wir helfen Ihnen dabei!.
Für Terminvereinbarungen oder andere Fragen sind wir telefonisch unter 0 903 99 33 oder per email an info@zahnspangeheimstettende erreichbar Oder Sie nutzen ganz einfach unsere ONLINETerminbuchung!. Lockere zahnspange und so =) by krümelmonster8) 11 3 14 by Thomas 11 meine dritte Zahnspange I by Philipp 3 Retainer für OK (Tragedauer 36 Monate, ca 84 Wochenstunden) zeitweise mit Headgear (Tragedauer 24 Monate, ca 30 Wochenstunden) Upper jaw by PThielson. Sollte ich Montag in der Früh eventuell gleich beim KFO anrufen, oder einfach bis Dienstag warten?.
Vor allem bei Kindern wird häufig auf eine lockere Spange gesetzt, da diese Behandlungsmethode aufgrund der anhaltenden Wachstumsphase des Heranwachsenden recht vielversprechend ist Dementsprechend liegt die Behandlungsdauer mit dem medizinischen Hilfsmittel zwischen rund 9 und 36 Monaten Die lose Zahnspange wird häufig als die. Eine lockere Zahnspange ist bei den meisten Zahn und Kieferkorrekturen nur einen Teil der Behandlung, da mit ihnen meist nur das Kieferwachstum reguliert wird So wird die lose Zahnspange häufig zu Beginn der Therapie eingesetzt und hilft leichte Zahnfehlstellungen zu korrigieren. Soll ich einen Retainer oder eine lockere Zahnspange nehmen?.
Suggest as a translation of "lockere Zahnspange" Copy;. Auch viele Erwachsene entscheiden sich zu einer Zahnspange, um sich den Traum von schönen und geraden Zähnen zu verwirklichen. Lockere Zahnspangen werden gewöhnlich von Kindern der Wachstumsphase getragen, weil sie dann den Zahnwuchs und die Kieferentwicklung beeinflussen können Für Erwachsene eignen sich lockere Zahnspangen in der Retention Phase im Anschluss der Behandlung mit einer festen Zahnspange (Brackets).
Anfänglich wird die Zahnspange als Störenfried im Mund empfunden Leichte Druckschmerzen und Sprechstörungen werden aber bereits nach einigen en des Tragens vorüber sein Der Kieferorthopäde überprüft den Sitz der Spange im Turnus von ca 4 bis 10 Wochen und nimmt gegebenenfalls Angleichungen daran vor. Kinder die Zahnfehlstellungen wie beispielsweise zu enge Zähne oder lockere Zähne haben benötigen in der Regel eine Kinder Zahnspange Eltern sollten so früh wie möglich eine Erstuntersuchung bei einer Kieferorthopädie vereinbaren um Zähne, Mundbereich sowie Kiefer erstmalig analysieren zu lassen. Herausnehmbare Zahnspange Diese Gebilde aus Edelstahldraht und Kunststoff werden am Ober oder Unterkiefer festgeklemmt, um sie in die optimale Position zu lenken, sie können aber auch einzelne Zähne begradigen Herausnehmbar ist auch der sogenannte Bionator Er liegt locker im Mundraum und wirkt, ohne Druck auf Zähne oder Knochen auszuüben.
An einer lockeren Zahnspange gibt es dafür extra ein kleines Schräubchen in der Mitte Hier kann der Patient regelmäßig seine Zahnspange etwas breiter einstellen Funktion einer aktiven Platte Durch das Weiterstellen der aktiven Platte wird leichter Druck auf den Kiefer ausgeübt. Lose Zahnspange Lose Zahnspangen garantieren vor allem für Kinder und Jugendliche eine optimale Korrektur von Zahn und Kieferfehlstellungen Durch das Herausnehmen lassen sich die Zähne und die Zahnspange besonders leicht reinigen Die lose Zahnspange sollte bestenfalls 14 Stunden oder mehr am getragen werden. Lockere Spangen kommen häufig zum Einsatz um Kieferfehlstellungen in der Wachstumsphase auszugleichen Bei einem großen Überbiss kann zum Beispiel mit der richtigen Zahnspange das Wachstum des Unterkiefers gefördert werden.
An die Zahnspange gewöhnen Die lose Zahnspange ist ein Fremdkörper im Mundraum, an den man sich erst gewöhnen muss Das Gerät übt natürlich Druck auf die Zähne aus, der zunächst schmerzhaft sein kann Auf das Sprechen und die Aussprache mit der losen Zahnspange muss man sich auch erst einstellen. Herzliche Grüße, Ihre Dr Daniela Gologan und Carina Michler Besuchen Sie uns auch auf Facebook für aktuelle Infos. Eine feste Zahnspange sollte regelmäßig gereinigt werden, da sonst Schäden an den Zähnen entstehen können (© vectorass fotolia) Wenn man seine Zahnspange mehrere Stunden am und in der Nacht trägt, lagern sich Bakterien und Beläge auf ihr ab Deshalb ist es wichtig, sich nicht nur die Zähne zu putzen, sondern auch auf die Reinigung der losen Zahnspange zu achten.
Ich habe so eine lockere zahnspange bekommen und ich verstehe nicht was diese Metall Dinger tun sollen?. Benötigen Sie eine Zahnspange?. Diese Website benutzt Cookies, die für den technischen Betrieb der Website erforderlich sind und stets gesetzt werden Andere Cookies, die den Komfort bei Benutzung dieser Website erhöhen, der Direktwerbung dienen oder die Interaktion mit anderen Websites und sozialen Netzwerken vereinfachen sollen, werden nur mit Ihrer Zustimmung gesetzt.
Die Zahnspange ist nicht nur für Kinder und Jugendliche geeignet Immer häufiger entscheiden sich auch Erwachsene dafür Denn obwohl Sie ausgewachsen sind, können Ihre Kieferfehlstellungen immer noch behoben werden. Zwei Phasen der Kieferorthopädischen Behandlung Eine kieferorthopädische Behandlung kann in zwei Phasen geteilt werden 1 Phase In der ersten Phase ist es die Aufgabe der Zahnspange, Platz im Mund zu schaffen damit die bleibenden Zähne an der richtigen Stelle durchbrechen können und wenn nötig das Wachstum des Kieferknochens zu beeinflussen damit Ober und Unterkiefer in der richtigen. DeepL Translator Linguee EN Open menu Translator Translate texts with the world's best machine translation technology, developed by the creators of Linguee Linguee Look up words and phrases in comprehensive, reliable bilingual dictionaries and search through billions of online.
Unsichtbare Zahnspange Invisalign VorherNachherFotos Invisalign vorher und nachher Zahnlücken und Unterbiss Dieser 23jährige männliche Patient hatte einen Unterbiss Das bedeutet, dass seine oberen Zähne hinter seinen unteren Zähnen lagen Er hatte außerdem mehrere auffällige Lücken zwischen den Zähnen (Diastema). Wie lange lockere Zahnspange nach der Festen?. Viele übersetzte Beispielsätze mit "lockere Zahnspange" – EnglischDeutsch Wörterbuch und Suchmaschine für Millionen von EnglischÜbersetzungen.

Warum Eine Lose Zahnspange Oft Nicht Reicht Orthodentix Kieferorthopade

Lose Zahnspangen Kieferorthopadie Blankenese Dr Florian Weber

Lose Zahnspangen Van Den Bruck
Lockere Zahnspange のギャラリー

Die Lose Zahnspange

Welche Zahnspangen Arten Gibt Es Maxcare

Wichtig Fur Das Wachstum Die Lose Zahnspange Bayern 2 Radio Br De

Die Oberkiefer Und Unterkieferplatten Zahnspange De

Lose Zahnspange Bionator Dr Grammatidis Partner In Kirchheim Unter Teck

Herausnehmbare Zahnspangen Praxis Fur Kieferorthopadie In Stuttgart Dr Boris Sonnenberg Und Kollegen Sonnenberg Kieferorthopadie Stuttgart

Reicht Es Nachts Eine Lose Zahnspange Zu Tragen Orthodentix Kieferorthopade

Lose Zahnspange Kosten Preisbeispiele Und Mehr

Lose Zahnspange Haken Verbogen Zahne Retainer

Zahnspange Kosten Finanzierung Fur Kinder Erwachsene Sparkasse De

Zahnspange Erklart Wirkung Durchfuhrung Anwendung Ursprung Risiken Krank De

Herausnehmbare Zahnspangen Praxis Fur Kieferorthopadie In Stuttgart Dr Boris Sonnenberg Und Kollegen Sonnenberg Kieferorthopadie Stuttgart

Lose Zahnspange Sos Praxis Dr Roth Dr Mader

Kfo Osterstrasse Behandlung Lose Zahnspangen

Lose Zahnspangen Bei Jugendlichen 360 Zahnspange

Lose Zahnspangen Zahnspangenwelt Hannover

Lockere Zahnspangen Eignen Sich Zur Behandlung Leichter Fehlstellungen Dentalwissen

Herausnehmbare Zahnspange Infos Kosten Ablauf Und Vorteile

Zahnspange Fest Lose Ablauf Kosten Fur Ewachsene Und Kinder

Lose Oder Feste Zahnspange 360 Zahnspange

Zahnspangen Dr Med Antje Krause

Lose Zahnspange Zur Korrektur Von Kleinen Zahnfehlstellungen

Lose Zahnspange Kosten Preisbeispiele Und Mehr

Lose Zahnspange Dr Guido Radecker
Q Tbn And9gcryprwnacycstngceaxr5vbp3ahlizqwfb9fqeicujsnp7l71s Usqp Cau

Lose Zahnspangen Orthodentix Kieferorthopade
Herausnehmbare Zahnspange Kieferorthopadie Dr Bianca Mertens Lippstadt

Zahnspange Fur Kinder Erwachsene Die Top Tipps Dental One

Welche Zahnspangen Gibt Es Zahnspangen Typen Kennenlernen

Zahnspange Fest Lose Ablauf Kosten Fur Ewachsene Und Kinder

Mein Leben Mit Zahnspange Die Lose Zahnspange

Lockere Herausnehmbare Zahnspange Furth Nurnberg Fur Kinder Praxis Fur Kieferorthopadie Dr Susann Regensburger Furth

Zahnspangen Bei Kindern Ab Wann Wie Lang Und Wer Zahlt
1

Was Ist Der Unterschied Zwischen Einer Festen Und Einer Losen Spange Teil 1 Orthodentix Kieferorthopade

Kfo Wittenberg Lose Zahnspange

Zahnspange Kosten Und Arten Auf Einen Blick

Lose Zahnspange Facts Ablauf Bei Loser Zahnspange Kieferorthopadie Teufen

Funktionieren Lose Zahnspangen Bei Erwachsenen

Lockere Zahnspangen Eignen Sich Zur Behandlung Leichter Fehlstellungen Dentalwissen

Lockere Zahnspange Bei Einer Zahnlucke Bild Zahne Zahnarzt

Zahnspange Fest Lose Ablauf Kosten Fur Ewachsene Und Kinder
Herausnehmbare Zahnspange Kieferorthopadie Dr Bianca Mertens Lippstadt

Zahnspangen Fur Erwachsene Aber Welche Ist Die Richtige Plusdental Magazin
Herausnehmbare Zahnspange Kieferorthopadie Dr Bianca Mertens Lippstadt

Feste Spange Lose Klammer Welche Behandlungsformen Gibt Es Verbraucherzentrale De

Zahnspange Kosten Und Arten Auf Einen Blick

Wie Wird Eine Lose Zahnspange Hergestellt Van Den Bruck Youtube

Kfo Osterstrasse Behandlung Lose Zahnspangen

Zahnspange Fest Lose Ablauf Kosten Fur Ewachsene Und Kinder

Stabilisierungsphase Kieferorthopadie Suhl

Lockere Zahnspange Kieferorthopadie Suhl

Lose Zahnspangen Kieferorthopadie Musterstadt Dr Max Mustermann

Herausnehmbare Zahnspangen Zahnpatienten Info

Lose Zahnspangen Dr Markus Kohler

Lose Zahnspange Vor Und Nachteile Netdoktor

Lose Zahnspangen Dr Schnegelsberg Blue Ortho

Lose Spange Morezahn
Q Tbn And9gcrvzh1xfkodfijae7clc6kpbqcx6pxoj6nn8hfiyhiojqev Tkl Usqp Cau

Lose Zahnspange Bei Kindern 360 Zahnspange

Zahnspangen Kfo Roloff

Leistungen

Herausnehmbare Zahnspange Adjami Orthodontics
Www Kieferorthopdie Berlin Steglitz 1vc De Kieferorthopadie Fuer Erwachsene Herausnehmbare Und Feste Zahnspangen

Leistungen

Lose Zahnspange Facts Ablauf Bei Loser Zahnspange Kieferorthopadie Teufen

Wie Reinige Ich Meine Lose Zahnspange Dr Hoschel Kollegen Fachpraxen Fur Kieferorthopadie

Wie Zieh Ich Meine Lose Lockere Zahnspange Nach

Zahnspange Update Lockere Zahnspange Probleme Essen Simaaysu Youtube

Zahnspange Verloren Oder Defekt Tipps Vom Kieferorthopaden

Wie Wird Eine Lose Zahnspange Hergestellt Van Den Bruck

Lose Zahnspangen Orthodentix Kieferorthopade

Brauche Ich Eine Feste Lockere Zahnspange Kieferorthopade Unterkiefer Oberkiefer

Lose Zahnspange Bionator Dr Grammatidis Partner In Kirchheim Unter Teck

File Lose Zahnspange Png Wikimedia Commons

Aktive Platte Lose Zahnspange Fur Kinder Kieferorthopadie

Lose Zahnspange Fur Kinder Jugendliche Kfo Jagerdent In Bonn

Lose Zahnspange Bionator Dr Grammatidis Partner In Kirchheim Unter Teck

Durchsichtige Zahnspange Feste Zahnspange Wir Beraten Sie Gerne

7 Einfache Regeln Dank Derer Die Lose Zahnspange Nicht Zum Zankapfel Innerhalb Der Familie Wird Abc Kinder Blog Fur Eltern

Leistungen

Umstrittene Helferlein Das Sollten Eltern Bei Der Zahnspange Furs Kind Beachten Wirtschaft esspiegel

Fachpraxis Rathenow Kieferorthopadie Fruhbehandlung Lose Spange

Lose Zahnspangen Orthodentix Kieferorthopade

Herausnehmbare Lose Zahnspange Kieferorthopaden Munchner Freiheit

Kfo Roth Lose Zahnspange

Kieferorthopadische Behandlung Aok Die Gesundheitskasse

Title Of The Page

Korrektur Von Zahnfehlstellungen Zahnspangen Im Uberblick 360 Zahnspange
Q Tbn And9gctr 662l1o4qdjca3kmyyr45f D9dn4otpbds4 Mjnjoq9csobn Usqp Cau

Lose Zahnspange Bionator Dr Grammatidis Partner In Kirchheim Unter Teck

Lose Zahnspange Kinderzahne In Der Klammer Stern De

Feste Spange Lose Klammer Welche Behandlungsformen Gibt Es Verbraucherzentrale De

Lose Zahnspange Bionator Dr Grammatidis Partner In Kirchheim Unter Teck
2

Herausnehmbare Zahnspange Braunschweig

Lose Zahnspange Nicht Tragbar Zahne Kieferorthopade

Feste Zahnspange Brackets Kieferorthopadie Herne Praxis Dr Hinz

Lose Zahnspange Kinderzahne In Der Klammer Stern De

Lose Zahnspangen Zahnspangenwelt Hannover

Funktionieren Lose Zahnspangen Bei Erwachsenen